Restore Your Smile With
Dental Implants
Restore Your Smile With
Dental Implants
The most affordable dental implant solutions in Peachtree Corners, GA.
Reviews
Affordable
per tooth
Schedule Online
Take advantage of this limited-time offer from Peachtree Corners's leading dental implant provider
Free Consultation*
During this visit, you'll meet your doctor and get a deep-dive into your dental concerns. This visit is completely free and will give you the answers you need to move forward with confidence.Free 3D CT Scan*
A 3D CT scan will allow us to determine the quality of your bone. From this scan, our team will determine your candidacy for implants, then outline the best treatment for your specific biology.Implant for $3,900 Per Tooth*
Restore your smile, preserve your bone, and improve self-confidence. (Individual implants at $2,100 per implant body + $1,800 the implant crown = total of $3,900 per tooth)*Please mention this offer when you contact us.
Schedule Online
What to Expect During Your First Visit

- We'll review your case for free
- Free 3D CT bone health scan
- Customized treatment plan
- Transparent cost breakdown
- Affordable financing options
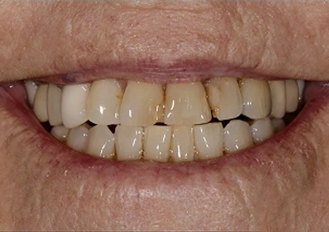
They're the True Permanent Solution if You Are Experiencing the Following:
A few or many of your teeth are either missing, rotting, broken or need to be replaced?
Frustrated from wearing poorly fitted and uncomfortable dentures?
Pain when performing the simple act of chewing food?
Embarrassment or anxiety about smiling because of your teeth?
Feeling held back socially or professionally because of your smile?
Tired of spending countless dollars on "temporary fixes" every few months / years?

Peachtree Corners's Top-rated Dental Implant Provider.
Transparent Pricing On Our Most Popular Procedure
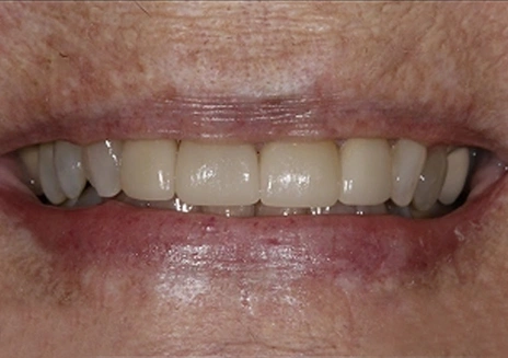
Single Tooth Replacement

Single implants are the best option to replace one or a few teeth. Restore your smile, preserve your bone, and improve self-confidence. Implants also restore chewing to natural strength!
This Treatment Includes:
Free Consultation & Exam
Free 3D CT Scan
1x Implant
1x Abutment (Post)
1x Dental Crown
Sedation Included
3,900
individual implants at $2,100 per implant body
$1,800 the implant crown
for a total of $3,900 per tooth

Meet
Dr. Park Skelton
Dr. Park Skelton purchased and began redesigning Peachtree Corners Dentistry in 2023. The office you will see today is a sum of great team members, new technology, and a lot of hard work. Dr. Skelton’s focus is providing care that inspires patients to achieve their optimal oral health.
Exceptional Smiles, Effortless Care! We Won’t Stop Until You Love It.
We're Trusted By Your Friends And Neighbors!
Rayan Kattoua
2 reviewsDecided to visit Peachtree Corners Dentistry for the first time today as my previous provider was closed today.
So glad I did.
I had such a great experience that I had to write a review on my own volition (and i usually never write reviews).
ilene Martinez
9 reviewsGraham H.
1 reviewGillian Ramirez
1 reviewJose A Blanco
1 reviewLeslie Walker Thompson
2 reviews . 1 photoFrequently Asked Questions
Let Our Team Of Experts Help You
Schedule Online
© 2026 Peachtree Corners Dentistry - Dentist Peachtree Corners | All Rights Reserved.











