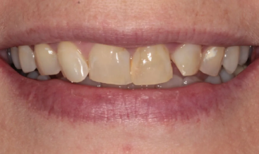
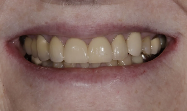
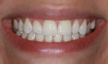
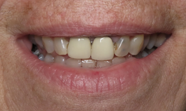
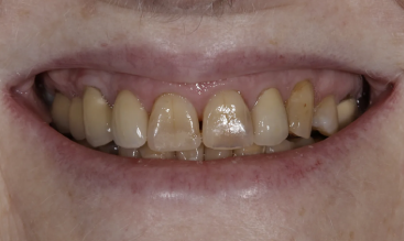
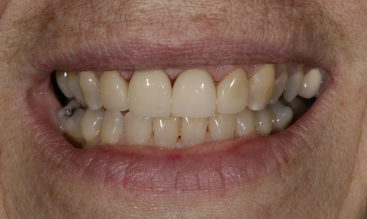
See the Stunning Results in Our Smile Gallery
At Peachtree Corners Dentistry, we take pride in transforming smiles. Our Smile Gallery features before-and-after photos showcasing the remarkable results of our cosmetic dentistry treatments, including teeth whitening, veneers, crowns, and more. Each transformation reflects our commitment to excellence and the impact a beautiful smile can have on confidence and well-being. Explore the possibilities and see why patients trust us for stunning, lasting results.












